Krankheiten
Mensch in Bayern mit Borna-Virus infiziert
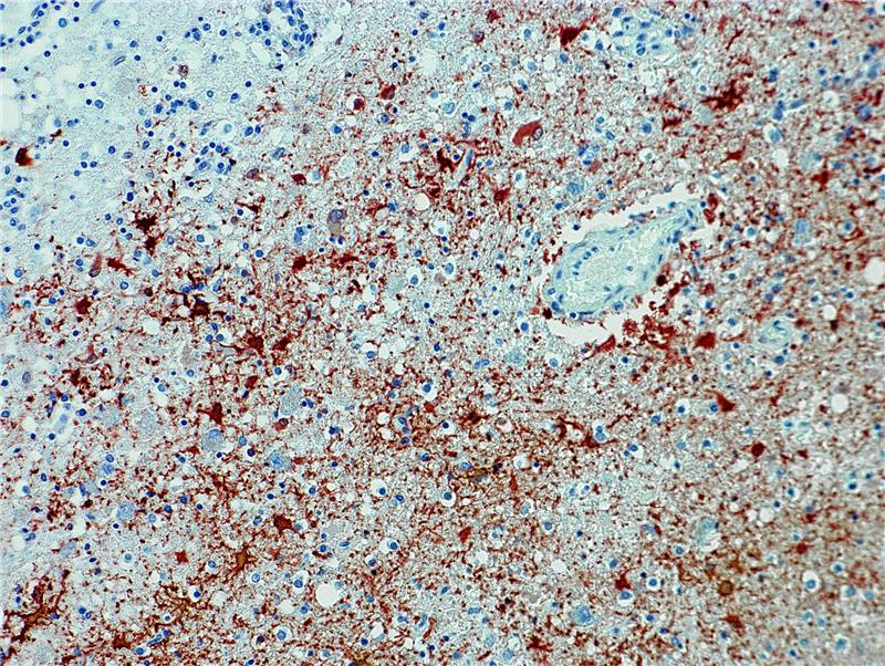
Die undatierte Aufnahme zeigt einen Anitkörpernachweis zum Borna-Virus im Gewebe.
Der Erreger kommt üblicherweise in der Feldspitzmaus vor. Beim Menschen löst er eine oft tödlich verlaufende Hirnentzündung aus. Nun gibt es einen weiteren Fall in Bayern.
